During a system upgrade from Friday, Dec. 5, through Sunday, Dec. 7, the AAFP website, on-demand courses and CME purchases will be unavailable.

brand logo

Am Fam Physician. 2025;112(2):203-204

Author disclosure: No relevant financial relationships.

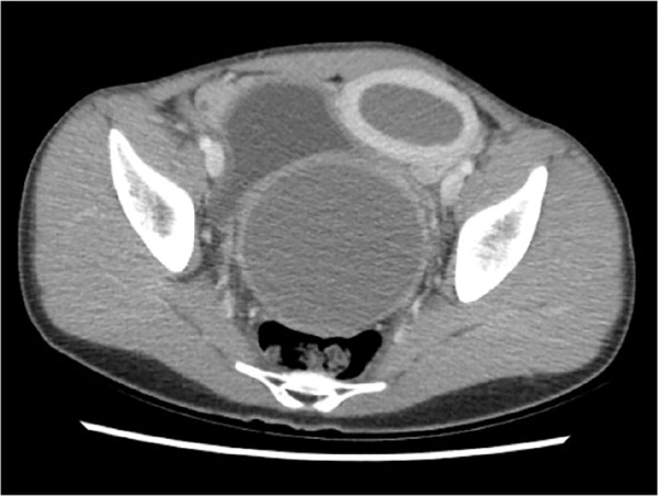
A 12-year-old premenarchal girl presented after 2 days of abdominal pain. She had been seen several times over the previous 6 months for similar symptoms. Her pain had become constant, severe, and sharp, and nonprescription analgesics no longer provided relief. The pain was predominantly in her periumbilical region and radiated to the left lower quadrant. She reported one episode of diarrhea but no nausea, vomiting, anorexia, or fevers. She had no history of recent travel, contact with sick people, dietary changes, or new psychosocial stressors. A review of systems was positive for intermittent constipation and occasional dysuria. She was not sexually active.

Physical examination revealed a tender, palpable mass protruding against her abdominal wall. Computed tomography of the abdomen and pelvis identified the mass as the uterus and vagina, which were both markedly distended with fluid (Figure 1). Magnetic resonance imaging confirmed single uterine and vaginal cavities without abnormal divisions. The cervix and ovaries appeared normal (Figure 2 and Figure 3).

QUESTION

Already a member/subscriber?  Log In

Subscribe

From $180
  • Immediate, unlimited access to all AFP content
  • More than 125 CME credits/year
  • AAFP app access
  • Print delivery available
Subscribe

Issue Access

$59.95
  • Immediate, unlimited access to this issue's content
  • CME credits
  • AAFP app access
  • Print delivery available
Interested in AAFP membership?  Learn More

The editors of AFP welcome submissions for Photo Quiz. Guidelines for preparing and submitting a Photo Quiz manuscript can be found in the Authors' Guide at https://www.aafp.org/afp/photoquizinfo. To be considered for publication, submissions must meet these guidelines. Email submissions to afpphoto@aafp.org.

This series is coordinated by John E. Delzell Jr., MD, MSPH, associate medical editor.

A collection of Photo Quiz published in AFP is available at https://www.aafp.org/afp/photoquiz

Continue Reading

More in AFP

More in PubMed

Copyright © 2025 by the American Academy of Family Physicians.

This content is owned by the AAFP. A person viewing it online may make one printout of the material and may use that printout only for his or her personal, non-commercial reference. This material may not otherwise be downloaded, copied, printed, stored, transmitted or reproduced in any medium, whether now known or later invented, except as authorized in writing by the AAFP.  See permissions for copyright questions and/or permission requests.